Z wizytą u dentysty często wiąże się strach oraz niepokój. Z podjęciem leczenia do momentu, aż ból zęba będzie bardzo uciążliwy, zwlekają osoby, które nie mają dobrych doświadczeń związanych z wizytą u stomatologa. Obecnie w wielu gabinetach dentystycznych stosowane są nowoczesne metody leczenia a zabiegi wykonywane przy użyciu zaawansowanego technologicznie sprzętu. Wizyta dentystyczna wcale nie musi kojarzyć się z bólem. Nawet podawanie znieczulenia może być bezbolesne! Po czym można poznać dobry gabinet dentystyczny? Przygotowaliśmy krótki poradnik.
Czym wyróżnia się dobry stomatolog?
Kwalifikacje, umiejętności, przystępny cennik stomatologiczny, odpowiednio wyposażony gabinet – to opis prawie idealnego gabinetu stomatologicznego. Prawie, ponieważ dobry stomatolog poza wiedzą powinien wyróżniać się także właściwym podejściem do pacjenta. Tak samo jak dentysta dla dzieci, stomatolog zajmujący się leczeniem dorosłych pacjentów musi wyróżniać się cierpliwością i wyrozumiałością. Dla wielu osób wizyta w gabinecie dentystycznym jest stresująca. Specjalista powinien więc zadbać o zapewnienie przyjaznej i komfortowej atmosfery, aby pacjent nie czuł dyskomfortu oraz pozbył się lęku przed kolejną wizytą. Dzięki nowoczesnym metodom leczenie zębów stało się niemal bezbolesne! Z kolei odpowiednie podejście do pacjentów zachęca do profilaktycznego dbania o zęby, co jest niezwykle ważne dla zapobiegania powstawaniu ubytków.
Jak wybrać gabinet dentystyczny?
Wybierając gabinet dentystyczny warto zwrócić uwagę na:
- stosunek lekarza do pacjenta: dzięki troskliwości, dążeniu do zmniejszenia dystansu pomiędzy stomatologiem a pacjentem, profesjonalizmowi i sprawnemu wykonywaniu zabiegów pacjent czuje się podczas leczenia komfortowo i bezpiecznie,
- czystość i sterylność: po każdej wizycie w gabinecie powinny być dokładnie oczyszczone i zdezynfekowane narzędzia, sprzęt, a fartuchy czyste, warto zwrócić uwagę na porządek w gabinecie, procedury stosowane przez specjalistę np. zakładanie jednorazowych rękawiczek w obecności pacjenta,
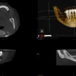
- nowoczesny sprzęt: wyposażenie gabinetu stomatologicznego to jedna z wizytówek miejsca pracy stomatologa, wykorzystanie innowacyjnego sprzętu umożliwia precyzyjne wykonywanie zabiegów,
- specjalizacje: niektóre gabinety stomatologiczne oferują wykonywanie zabiegów z zakresu różnych specjalizacji np. periodontologii, protetyki,
- recepcję: możliwość umówienia w dogodnym terminie wizyty, szybki kontakt telefoniczny w przypadku konieczności m.in. odwołania wizyty.
Gwarancja skuteczności leczenia
Czy leczenie stomatologiczne zawsze jest skuteczne? Niestety, nadal w niektórych gabinetach stosowane są dawne procedury oraz metody leczenia. Znaczenie ma także rodzaj materiału, na którym pracuje dentysta.
Wykonywanie zabiegów z wykorzystaniem nowoczesnego sprzętu, wysokiej jakości materiału, a także odpowiednie kwalifikacje dentysty zajmującego się leczeniem są gwarancją skuteczności podjętego leczenia. W niektórych przypadkach, dzięki innowacyjnej technologii, możliwe jest zakończenie leczenia już w trakcie jednej wizyty.







