Implanty zygomatyczne – czym są? Z czego zostały wykonane i jakie są wskazania, by zastosować je u pacjenta?
Rodzaje implantów zębowych
Na jakie rodzaje dzielą się implanty zębowe? Klasyfikacje i kryteria podziału są różne. Pierwszy podział uwzględnia czas, na jaki będą one użytkowane. Mamy zatem do czynienia z implantami czasowymi oraz stałymi. Inny podział to ze względu na miejsce i głębokość ich umieszczenia – są to implanty śródkostne i implanty podokostnowe. Kolejna klasyfikacja implantów zębowych uwzględnia materiał, z jakiego zostały one wykonane. Najpowszechniejsze są implanty tytanowe oraz cyrkonowe, nazywane także ceramicznymi.
Najpowszechniejsze są implanty tytanowe oraz cyrkonowe, nazywane także ceramicznymi. Jakie są najpopularniejsze i najpowszechniej stosowane rodzaje implantów zębowych? W naszej klinice Studio Stomatologii Estetycznej Se+ są to m.in. tytanowe implanty stomatologiczne SLAactive, protezy InPlace oraz implanty zygomatyczne – to właśnie na temat tych ostatnich poświęcony zostanie ten wpis blogowy.
Implanty zygomatyczne – czym są?
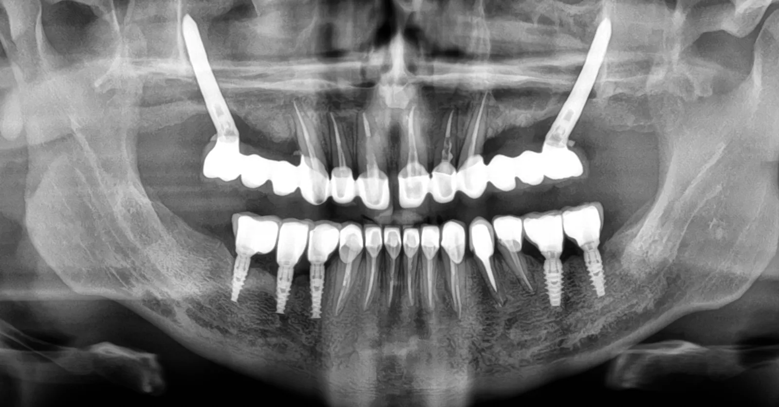
Implanty zygomatyczne nazywane są także implantami jarzmowymi. Zanim odpowiemy na pytanie, implanty zygozmatyczne – czym są – warto wspomnieć, że nasza klinika – a konkretniej chirurg implantolog dr Radosław Witkowski – jako jedna z pierwszych w Polsce zaczęła stosować to rozwiązanie do leczenia pacjentów. Implanty zygomatyczne to długie implanty, wprowadzane w znieczuleniu ogólnym w odcinkach bocznych, w okolicę łuku jarzmowego szczęki.
Implanty zygomatyczne są zalecane szczególnie u osób, które cierpią na bezzębie całkowite w szczęce lub inne, trudne warunki kostne. Tego rodzaju implanty, nazywane jarzmowymi, to alternatywa dla bardziej skomplikowanych metod leczenia – np. z użyciem przeszczepów kości własnej pacjenta. Implanty zygomatyczne gwarantują pełną odbudowę protetyczną nawet w bardzo skomplikowanych lub trudnych przypadkach. Taki zabieg jest szybszy, mniej bolesny i bardziej bezpieczny, z punktu widzenia pacjenta stanowi o jego przewadze np. nad przeszczepem kości własnej. Warto dodać, że planując taki zabieg, konieczna jest diagnostyka obrazowa zatok (przede wszystkim szczękowych) oraz diagnostyka laryngologiczna.
Implanty zygomatyczne to doskonała opcja dla pacjentów, u których nie można zastosować implantów korzeniowych (np. z uwagi na zbyt mało tkanki kostnej w wyrostkach zębodołowych szczęk). Ponadto także są one zalecane dla osób, które nie akceptują protez ruchomych.
Implanty zygomatyczne – powikłania
Czy osoby, które zdecydują się na implanty zygomatyczne, powinny liczyć się z możliwością jakichkolwiek powikłań? Implanty zygomatyczne zakłada się w znieczuleniu ogólnym, a ryzyko powikłań pooperacyjnych jest bardzo niewielkie. Ponieważ zostały one starannie przebadane, dlatego powodzenie leczenia jest ogromne, a czas rekonwalescencji pacjenta skrócony do minimum (w porównaniu np. do zabiegów z przeszczepem kości własnej, po której dużo dłużej dochodzi się do siebie). Dzięki znakomitej stabilizacji implantu zygomatycznego, już dzień po zabiegu można wykonać pełną odbudowę protetyczną. Podczas leczenia pacjentów przy pomocy implantów jarzmowych, rezygnuje się ze złożonych operacji chirurgicznych, takich jak podniesienie dna zatoki szczękowej czy sterowana regeneracja kości. Implanty zygomatyczne to doskonała alternatywa dla innych, poważniejszych procedur chirurgicznych i zarazem bezpieczna oraz skuteczna metoda rehabilitacji protetycznej przy pomocy uzupełnień stałych.







