Kiedy zrobić prześwietlenie zęba lub zębów i co wykaże takie zdjęcie rentgenowskie? Jakie są najpopularniejsze rodzaje zdjęć RTG w stomatologii i w jakim celu się je wykonuje?
Czym jest rentgen?
Pod pojęciem rentgena rozumie się zarówno zdjęcie rentgenowskie, nazywane także rentgenogramem, prześwietleniem lub RTG, ale także techniki i urządzenia wykorzystujące promieniowanie rentgenowskie (np. lampa rentgenowska). Rentgen to podstawowa technika diagnostyczna w medycynie, stosowana już niemal od 100 lat – pierwszy rentgen całego ludzkiego ciała został wykonany w 1934 roku.
Rentgen czy tomografia?
Badanie rentgenowskie bywa mylone z tomografią. Czym różnią się od siebie te badania? Klasyczne RTG umożliwia obrazowanie kości w dwóch wymiarach, (np. by potwierdzić lub wykluczyć złamanie). Z kolei tomografia komputerowa, która również wykorzystuje promieniowanie rentgenowskie, obrazuje nie tylko tkanki twarde, ale również miękkie (np. ścięgna, narządy jamy brzusznej, serce), w trzech wymiarach. Jeszcze inną metodą diagnozowania różnych schorzeń jest rezonans magnetyczny. Wykorzystuje on do obrazowania promieniowanie elektromagnetyczne wytworzone przez fale radiowe. Podczas badań diagnostycznych emitowane są minimalne ilości promieniowania, dlatego jest to w pełni bezpieczne dla pacjentów i badania te wykonuje się z taką częstotliwością, z jaką jest to konieczne.
Kiedy zrobić prześwietlenie zęba?
Na prześwietlenie zęba kieruje się osoby w różnym wieku, stanie jamy ustnej i uzębienia. Najczęściej są to pacjenci, u których występuje podejrzenie zaawansowanej próchnicy, brak zawiązków zębowych i zębów zatrzymanych. Prześwietlenie zęba robi się przy podejrzeniu zmian chorobowych i stanów zapalnych przy korzeniach. Często także RTG zleca się w sytuacji, gdy pacjent zmienia dentystę. Lekarz, który przyjmuje nową osobę, nie zna historii i przebiegu jego chorób, a niektóre problemy czy stan zębów łatwiej ocenić, mając RTG zębów. Prześwietlenie zęba zleca się przed leczeniem kanałowym lub wyrwaniem zęba, często także, by zidentyfikować niewidoczne gołym okiem problemy, np. zatrzymane zęby mądrości.
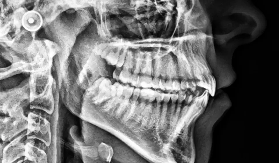
Zdjęcie RTG zęba i jego rodzaje
Zdjęcie RTG zęba dzieli się na kilka rodzajów. Najpopularniejsze i najczęściej wykonywane to:
- punktowe RTG zęba, czyli prześwietlenie stanu konkretnego zęba lub jednego tylko obszaru (np. 3 lub 6 zębów). Takie RTG zleca się m.in. przy podejrzeniu o resorpcję korzenia zęba lub by pomóc dentyście w podjęciu decyzji o leczeniu kanałowym. RTG pojedynczego zęba to także doskonały sposób na ocenę skuteczności podjętego leczenia,
- RTG pantomograficzne, nazywane także pantomogramem – jest to zdjęcie, które obrazuje stan zębów górnych i dolnych, także kości i wszystkie otaczające je tkanki. Zrobienie pantomogramu jest zalecane m.in. przed operacjami w obrębie twarzoczaszki lub przed planowanymi pracami protetycznymi (np. protezach na stałych implantach),
- RTG cefalometryczne, nazywane potocznie „cefalo” lub „tele”, doskonale obrazuje tkanki miękkie twarzy, zatoki przynosowe i podniebienie twarde. RTG cefalometryczne wykonuje się przede wszystkim w diagnostyce wad zgryzu oraz przed planowanym leczeniem ortodontycznym. Cefalo w ortodoncji służy przede wszystkim do oceny wzrostu kostnego i dokonania odpowiednich pomiarów przed kolejnym etapem leczenia.
Prześwietlenie zębów w Krakowie
Każdą osobę ze stolicy Małopolski lub okolicy, która chce wykonać rentgen zębów w Krakowie, zapraszamy do naszego Studia Stomatologii Estetycznej Se+. Dysponujemy własną pracownią, w której realizujemy różnego rodzaju prześwietlenie zębów:
RTG panoramiczne, RTG cefalometryczne, RTG zatok, a także RTG 1 punktu (3 zębów) lub 2 punktów (6 zębów).






